Берите попкорн. Только потом не забудьте почистить зубы.
Всем привет здесь! Меня зовут Ярослав, сейчас принимаю в клинике в Хамовниках, и за 12 лет работы с зубами чего только я не видел. Не хочу хвастаться, но в отдельных случаях мне достаточно одного взгляда в ваш рот, чтобы понять, кто вы по профессии. Дальше объясню подробнее как это работает. Никакой магии – только опыт.
Как-то ко мне попал ИТ-специалист. Что это именно айтишник, было понятно по состоянию зубов. Дело в том, что у людей этой специальности есть особые проблемы, которые присущи только им. Кстати, мне даже захотелось написать научную работу по характерным для ИТ-специалистов заболеваниям, вот только статистику подкоплю.

Итак, у пациентов этого профиля есть 4 основные проблемы:
- Нарушение слюноотделения из-за работы по ночам, обезвоживания или стресса.
- Привычка питаться как попало – пицца и печенье запиваются сладкой газировкой.
- Малоподвижный образ жизни, что сказывается на осанке и прикусе.
- Привычка блокировать телесные сигналы – частое сжимание зубов.
Почти всё это было в наличии у обратившегося пациента.
Первое – зубы были недостаточно увлажнёнными. Обычно слюна их защищает и омывает. В норме среда во рту немного щелочная. Если её нарушить, то под воздействием патогенных микроорганизмов зубная эмаль начинает очень быстро повреждаться.
Главный фактор риска при этом – нарушение режима дня, то есть работа по ночам. Ведь ночью слюны выделяется гораздо меньше, чем днём. И даже если работать в ночную смену постоянно, организм всё равно не перестроит эту систему увлажнения в полной мере.
Поэтому и зубы будут сухими. Конечно, эта особенность есть не только у ИТ-специалистов, а у всех, кто работает ночью. Но, как правило, айтишники частенько и ведут такой образ жизни. И мало пьют воды, фокусируясь на работе, что тоже приводит к сухости в ротовой полости.
Небольшое лирическое отступление по теме
Нарушение водного баланса может быть связано с сердечно-сосудистыми заболеваниями или аллергией. Если есть реакция на пыль, то носовое дыхание затрудняется. Дыхание ртом со временем может привести к проблемам с зубами, потому что так слюны испаряется больше.
Второе – прикус, характерный для тех, кто испытывает постоянный фоновый стресс. Это могут быть авиадиспетчер, телохранитель, ну или менеджер высокого ранга, в общем, люди с грузом ответственности. Какое бремя взвалил на себя наш ИТ-специалист? Это неизвестно, но его стёртые зубы говорили о том, что он работает в условиях высоких психоэмоциональных нагрузок.
Тут нужно пояснить. В норме площадь всех зубных контактов — 0,5-1 кв. см. При большей площади мозг передает в мышцы челюсти сигнал: сжимай зубы плотнее! При постоянном сжатии зубы стираются, обнажается дентин. Он менее крепок, чем эмаль, в нем всего 70% минеральных соединений. Обнажённый дентин уязвим перед кислотностью продуктов, поэтому зубы очень быстро разрушаются.
Третье – зубной камень и кариес. Это может говорить о любви к сладким перекусам с чашечной кофе – типичное питание айтишника. Дело в том, что кофе имеет кислую среду, что и создаёт тот самый дисбаланс в ротовой полости, из-за которого патогенные бактерии активно размножаются. Кстати, кофе имеет и обезвоживающий эффект, поэтому при его активном употреблении снижается количество слюны.
Что можно поменять в своей жизни, чтобы избежать полной реставрации зубов в совсем ещё не старом возрасте?
- Соблюдайте режим дня – важная рекомендация, которую, я думаю, проигнорируют почти все айтишники.
- Пейте больше жидкости, при этом под жидкостью я не подразумеваю кофе. Пусть это будет просто вода или натуральный сок без сахара. Хотите взбодриться? Зелёный чай вполне подойдет – в нем тоже есть кофеин.
- Больше отдыхайте и лучше – не на диване.
- Двигайтесь. Длительное сидение за экраном компьютера плохо сказывается на осанке, а она, в свою очередь, влияет на прикус, в итоге с ортодонтией все плохо. Кроме того, есть предположение, что свободное от работы время айтишники проводят за книгой, а не в спортзале. Отсюда низкий процент мышечной ткани и плохая осанка. Однако это всего лишь гипотеза: чтобы узнать, насколько в целом спортивны ИТ-специалисты, нужно собрать больше данных. Возможно, мои представления о них ошибочны и современные айтишники совсем не такие.
- Следите за челюстью – вероятно, вы даже не замечаете, как часто сжимаете зубы во время работы. Как проверить? По плотно сомкнутым губам – более плотно, чем того требует нормальное положение челюстей.
- Если у вас искривлена носовая перегородка, из-за чего приходится дышать через рот, проконсультируйтесь со специалистом и найдите время решить эту проблему хирургическим путём.
- Пересмотрите своё питание. На этом пункте хотелось бы остановиться подробнее, он важный. Очень частая практика среди ИТ-специалистов – есть прямо на рабочем месте, причём максимально углеводные и вредные продукты. Углеводы нужны в условиях сильных умственных нагрузок, но не чипсы же с печеньем. Такая диета неизбежно вызывает проблемы с зубами и вообще с ЖКТ. Например, может развиться изжога. Кислые пары, поднимающиеся по пищеводу, меняют баланс ротовой полости на более кислотный. При этом страдает эмаль зубов и постепенно они разрушаются.
Ещё одна проблема подобных перекусов (их даже питанием-то не назовешь) – высокая адгезивность. Это значит, что микрочастицы того же печенья или чипсов, смешиваясь со слюной, образуют густую массу наподобие клея. Застывая на поверхности зубов, она создаёт отличные условия для размножения патогенных бактерий.
Поэтому, если хотите сохранить зубы:
- Первое – добавьте в рацион больше овощей и фруктов и уберите сладкое.
- Второе – ешьте полноценную горячую еду, а не фаст-фуд.
- Третье – выровняйте режим дня, чтобы в нём нашлось время для полноценных завтраков, обедов и ужинов.
- Четвертое – не ленитесь жевать! Перекусы на рабочем месте не подразумевают пользование ножом и вилкой, и тогда выбор падает на что-то мягкое, что не нужно резать. Такая пища не создаёт необходимую нагрузку на зубы и жевательные мышцы.
Кстати, мы в клинике как-то проводили эксперимент. Разложили в зоне ожидания разные виды угощений и следили, с какой скоростью они расходуются. Так вот – бананы и конфеты шли на ура. Свои опыты мы продолжим в более контролируемой среде, да и над методикой надо ещё подумать, ну а пока совет – в любой непонятной ситуации ешьте яблоки и морковь.
- Если у вас гастрит, лечите его. При гастрите с повышенной кислотностью обратитесь к специалисту – он выпишет вам антациды. Такое лечение позволит избавиться и от неприятного запаха изо рта, который часто бывает при кислотном рефлюксе. Можно также воспользоваться специальным средством для слизистой рта типа «Фагодента», который защищает ротовую полость от вредных бактерий и поддерживает естественный микробиом.
- Не терпите боль, а идите к врачу. Есть такая гипотеза – люди, увлеченные какой-либо деятельностью, сосредоточиваются на ней и частично блокируют телесные сигналы. Боль – один из таких сигналов. Ситуация характерна для любой потоковой деятельности, и достигается такое состояние тренировками. Например, в клинической практике упоминались «кариес игроков в видеоигры» или «компьютерный кариес», однако достаточных исследований на эту тему нет, и насколько это применимо именно к ИТ-специалистам, неизвестно.
Но однозначно не стоит тренироваться терпеть боль. Раннее начало лечения будет более эффективным и менее затратным. Это относится не только к стоматологии. Запущенная болезнь может перерасти в хроническую, да ещё и с осложнениями.
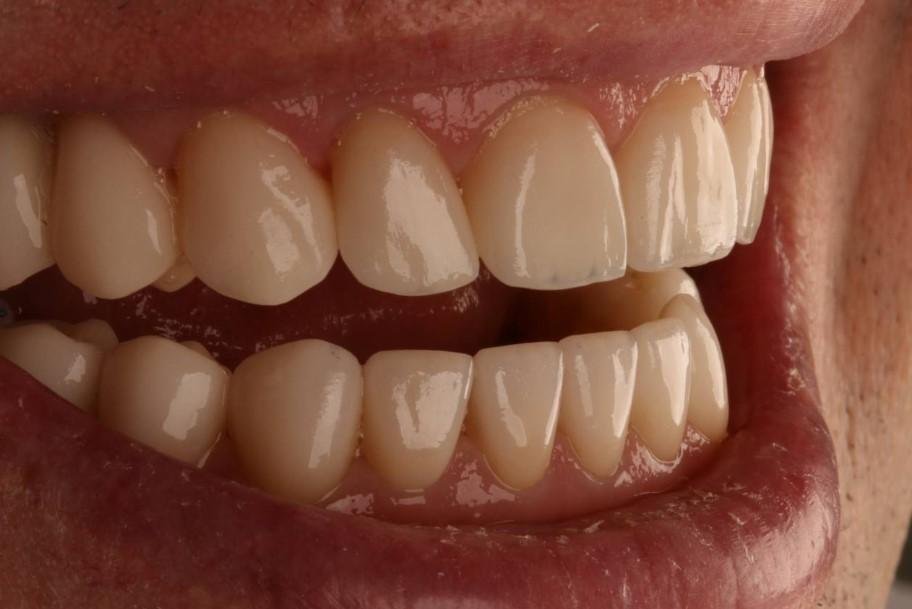
Как выглядел профиль пациента (фото)




А это лечится?
К счастью, да. В «Белой радуге» мы можем сделать всё. Что-то быстро, например, вылечить кариес, что-то медленнее – это касается ортодонтии. Цена лечения будет зависеть от стадии. Но лично мне бы не хотелось видеть уже запущенный рот. Однако, увы, как раз он нам встречается чаще всего, ведь большинство стоматологических заболеваний на ранних стадиях протекают бессимптомно.
А когда люди обращаются за помощью, то получается долго и дорого. В некоторых случаях мне и другим нашим врачам приходится разбирать всю челюсть и собирать её заново.
А тех, кто не бережёт свои зубы в надежде когда-либо поставить импланты, разочарую: пока нет таких технологий, с помощью которых можно создать зубы, полностью идентичные натуральным. И в ближайшие 7 лет в клинических испытаниях не заявлены никакие принципиально новые импланты. Пока же они – лишь альтернатива отсутствующему зубу, а не естественному, природному.
Поэтому профилактика и ещё раз профилактика.



зубы айтишника легко опознать: язык делает три шага по небу, чтобы произнести: трис-та-ка
привет, Ярослав!
а вы можете указать в начале поста что это не оригинальный текст, а копипаста с (вашего же) корпоративного хабра, опубликованная в двух местах одновременно?
вот ссылка: https://habr.com/ru/companies/belayaraduga/articles/547708/
UPD: в трёх местах, хотя это спорно -- версия на vc довольно сильно отличается по самому тексту: https://vc.ru/life/286817-stress-nedosyp-i-uglevody-chto-takoe-zuby-aitishnika-i-kak-obraz-zhizni-vliyaet-na-karies
POV айтишника, который регулярно профессионально чистит зубы, носит капу для зубов, пьет воду, занимается спортом и не ест вредную еду: ну да, ну да, «типичные» зубы с «типичным» питанием айтишника…
Интересная статья! Хотел спросить ваше мнение на одну тему. Кто-нибудь сталкивался с таким? У меня зубы так себе – кариес раньше часто атаковал (плотно стоят, даже после брекетов, да и эмаль не особо крепкая, может, это гены). Врач посоветовал перейти на рецептурную зубную пасту с повышенным содержанием фторида натрия – там 1.1% (5000 ppm) вместо стандартных 0.24%. Уже шесть лет ей пользуюсь, и за это время – ни одного нового кариеса, что, конечно, радует.

Но всё-таки сомневаюсь: насколько опасна такая паста для здоровья в целом? По инструкции надо чистить без воды и потом тщательно сплёвывать, но не стирается ли так эмаль быстрее?